Moderne Zahntechnik aus Nürnberg für jeden Bedarf
Unser Dental-Labor eröffnet Ihnen und Ihrer Zahnarztpraxis nahezu unbegrenzte restaurative und prothetische Möglichkeiten.
Erfahren Sie im Folgenden mehr über die zahntechnischen Leistungen unserer Zahntechniker.
Qualität schafft Vertrauen und Sicherheit
für Sie und Ihre Patienten
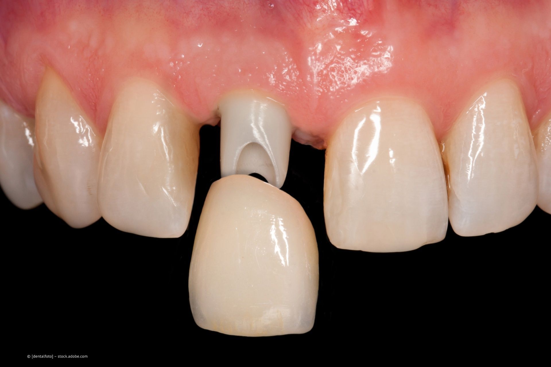
Patientenzufriedenheit ist unser oberstes Ziel. Wir wissen, dass Ästhetik, Passgenauigkeit und Langlebigkeit entscheidende Faktoren sind, die die Zufriedenheit der Patienten beeinflussen und sie zu wertvollen Botschaftern für Ihre Praxis machen.
Bei der Herstellung des Zahnersatzes legen wir außerdem größten Wert auf Präzision, um Ihnen und Ihrem Team Zeit zu sparen und den Praxisalltag zu erleichtern. Unsere Termin- und Arbeitsplanung gewährleistet reibungslose Abläufe.
Zudem arbeiten wir wirtschaftlich und effektiv, um Ihnen beste Leistungen zu bieten. Unser erfahrenes Team kombiniert handwerkliches Können mit fortschrittlichen Technologien, um qualitativ hochwertigen, ästhetischen und funktionalen Zahnersatz zu schaffen. Mit unserem Dental-Labor, das auf umfassendes Qualitätsmanagement setzt und Materialien gemäß den Anforderungen des Medizinproduktegesetzes kontrolliert, können Sie auf eine zuverlässige Zusammenarbeit vertrauen.
Unser Ziel ist es, Ihre Praxis erfolgreich zu unterstützen und Ihren Ruf als vertrauenswürdiger Anbieter von herausragendem Zahnersatz weiter zu festigen.
Das bietet Ihnen unser zahntechnisches Labor
Langjährige Erfahrung
Unser Dentallabor verfügt über ein Zusammenspiel aus langjähriger Erfahrung und Innovation. Unsere Mitarbeiter werden regelmäßig geschult und verfügen über die nötige Kompetenz.
Zertifizierte Labortechniker
In unserem zertifizierten Dentallabor stehen Ihnen jederzeit unsere bestens ausgebildeten Zahntechniker zur Seite. Wir sind da, um Ihnen bei allen Fragen und Problemen zu helfen.
Modernste Technologien
Unser Dentallabor ist mit modernsten Maschinen und Geräten für eine reibungslose und makellose Fertigung ausgestattet.
Die Qualitäts-Bausteine unseres Dental-Labors sind:
konsequentes, umfassendes Qualitäts-Management
MPG-Kontrolle der zu verarbeitenden Materialien
hohe Mitarbeiter-Qualifikation durch permanente Weiterbildung
Materialqualität
Verarbeitungsqualität
Terminqualität
Servicequalität
Sichere Technologien
Unser Dentallabor legt großen Wert auf die Sicherheit und Gesundheit Ihrer Patienten. Unsere Materialien und Werkstoffe werden regelmäßig klinisch und toxikologisch untersucht.
Peek- Teleskop
PEEK-Teleskop ist eine metallfreie und kostengünstige Prothese, die Stabilität und Flexibilität vereint.
Benötigen Sie spezielle Zahntechnik für Ihre Praxis?
Lassen Sie sich gerne direkt von uns beraten und gemeinsam entwickeln wir die optimale Lösung!






